Vợ cứ bảo tôi đi bọc răng sứ nhưng mình ngần ngại, tự nhiên bọc răng làm gì? dù không tin nhưng tôi cũng thử, làm răng xong thì đây đúng là quyết định sáng suốt của tôi. Tuyệt vời.
Nụ cười – thước đo cảm xúc, thước đo của sự tự tin, nhưng một nụ cười với nhiều khuyết điểm lại làm bạn mất tự nhiên khi giao tiếp, bỏ lỡ nhiều mối quan hệ, ảnh hưởng đến cơ hội thành công, thậm chí gây cản trở vận mệnh phú quý khi xét theo nhân tướng học (khoa học Phương Đông).
Những nhược điểm về răng miệng bao lâu nay đã khiến bạn giấu đi nụ cười của mình.
Với phương pháp bọc răng sứ hiện đại, nhẹ nhàng của nha khoa Flora sẽ khiến bạn thoát khỏi những nỗi lo sau:
Điều này làm giảm lực khi bạn nhai thức ăn và quan trọng nữa nó làm cho nụ cười của bạn không được đẹp như mong muốn.
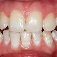
Chắc rằng không ai mong muốn một hàm răng bị hô, lệch, sứt hoặc mẻ, điều đó làm nét cười của bạn mất duyên
Răng bị ố vàng hoặc bị nhiễm màu do uống kháng sinh, do hút thuốc hoặc thói quan ăn uống không đảm bảo
Men răng của bạn bị lỗ chỗ, sâu răng khiến bạn không cảm thấy thoải mái khi nhai thức ăn, không tự nhiên khi cười.
Công nghệ bọc răng sứ trước đây tiềm ẩn nhiều biến chứng nguy hiểm và không thể phục hồi do yêu cầu phải mài đến 80% răng gốc khiến tủy bị tổn thương nghiêm trọng. Các biến chứng thường gặp có thể kể đến:
Tại nha khoa Flora chúng tôi áp dụng công nghệ bọc răng sứ hiện đại nhất, để mang đến cho khách hàng không những có những hàm răng đẹp hoàn mỹ mà còn đảm bảo tối đa sức khỏe khách hàng.
Làm răng sứ nay đã an toàn và hiệu quả hơn rất nhiều với Nha Khoa Flora.
Khách hàng hoàn toàn an tâm vì các nhược điểm của công nghệ cũ đều đã được loại bỏ:
Nhờ công nghệ tân tiến được Nha khoa Flora đầu tư kỹ lưỡng và tận tâm, chúng tôi tự tin mang đến cho bạn nụ cười tỏa sáng, đặc biệt là an toàn nhất cho sức khỏe răng miệng sau này.
Bọc răng sứ tại Nha Khoa Flora sẽ giúp bạn:
Bọc răng sứ là giải pháp can thiệp nha khoa trực tiếp phục hồi răng hư tổn như răng sứt mẻ, răng thưa hở kẽ, răng nhiễm màu kháng sinh,… đồng thời hỗ trợ phục hình hàm răng kết hợp làm đẹp thẩm mỹ. Bọc răng sứ thẩm mỹ giúp lấy lại hình dạng ban đầu của răng bằng công nghệ cấy ghép răng implant từ Châu Âu. Kết quả 100% khách hàng hài lòng với hàm răng đều đẹp, sáng bóng cho nụ cười tự tin hơn trước rất nhiều lần.
Nha khoa Flora là một trong những đơn vị đi đầu trong việc sử dụng công nghệ Nano Shining 5S để phục hồi răng hư tổn. Chúng tôi tự hào là địa chỉ nha khoa tin cậy nhất tại Việt Nam, từ Hà Nội đến Tp. HCM và cả nước.
Với chúng tôi bệnh nhân là tất cả, những gì tốt đẹp nhất chúng tôi đều dành cho bệnh nhân của mình. Đó là lý do tại sao đội ngũ chuyên gia nha khoa của chúng tôi không ngừng mài giũa và cải thiện các kỹ năng của họ để chúng tôi có thể cung cấp các kỹ thuật và phương pháp điều trị nha khoa mới nhất.
Chúng tôi hiểu rằng có rất nhiều mối lo lắng khi bạn đi khám nha khoa. Đó là lý do tại sao chúng tôi hết sức cẩn thận để đảm bảo rằng phòng khám của chúng tôi có một bầu không khí nhẹ nhàng và thoải mái, và chúng tôi cố gắng làm cho mọi điều trị của bệnh nhân trở thành một trải nghiệm không đau đớn và dễ chịu.
Chúng tôi nhận thấy bệnh nhân của chúng tôi có cuộc sống bận rộn và đôi khi rất khó để có thời gian đi đến nha sĩ. Chúng tôi luôn sắp xếp lịch khám theo yêu cầu của bệnh nhân. Đối với những người có hạn chế về thời gian bất thường, chúng tôi có thể sắp xếp các cuộc hẹn ngoài giờ theo yêu cầu.
Khi bạn bước vào một trong hai văn phòng của chúng tôi, bạn không chỉ là một bệnh nhân khác. Chúng tôi biết rằng mỗi bệnh nhân có một nhóm nhu cầu duy nhất và chúng tôi điều chỉnh mọi kế hoạch điều trị theo những nhu cầu đó. Chúng tôi cũng có nhiều phương pháp an thần khác nhau để đảm bảo rằng việc điều trị của bạn không bị căng thẳng.
Nha khoa tiêu chuẩn Châu Âu – Kiến tạo nụ cười mới cho bạn để luôn tự tin tỏa sáng
![]()
Khám và tư vấn
![]()
Vệ sinh & gây tê
![]()
Mài cùi răng
![]()
Lấy dấu răng
![]()
Thiết kế răng sứ
![]()
Lắp răng sứ
Bọc răng sứ thẩm mỹ tại Borasu là kỹ thuật làm răng đúng chuẩn được Bộ y tế công nhận. Chất sứ cao cấp có khả năng kháng khuẩn tốt, Bác sĩ đúng chuyên ngành trực tiếp thực hiện. Borasu hội tụ đầy đủ những yếu tố để bọc răng sứ an toàn và đẹp nhất cho bạn, đạt hiệu quả thẩm mỹ như mong muốn.
Công nghệ mới nhất với răng toàn sứ cao cấp, máy móc hiện đại, tay nghề chuyên gia giỏi. Cùng với tình yêu nghề của đội ngũ Bác sĩ, nhân viên Flora tự tin cung cấp dịch vụ bọc răng đẹp chuẩn Châu Âu kiến tạo lại nụ cười trắng sáng. Răng sứ mới chuẩn tỷ lệ đối xứng nhân trung, chuẩn sắc độ răng và chuẩn màu sắc cả hàm, phù hợp nướu, lợi, môi từng người.
Bảo vệ và duy trì nụ cười tự nhiên, hạn chế tình trạng sâu răng phát triển. Ngăn ngừa các vấn đề về hôi miệng với thời gian dài. Răng sứ có màu sắc trắng sáng tự nhiên giống hệt răng thật.
Quá trình bọc răng sứ rất an toàn, hoàn toàn không làm ảnh hưởng đến sức khoẻ. Răng sứ tồn tại trong môi trường răng miệng rất lành tính, phù hợp với mọi cơ địa và mọi lứa tuổi.
Giúp chỉnh sửa và phục hồi tính thẩm mỹ cho những trường hợp răng bị mọc thưa, lệch, không đúng vị trí, mọc chen trúc hoặc răng bị nhiễm màu nặng, nhiễm flour, răng bị bể hay sứt mẻ.
Trang thiết bị và dụng cụ y tế đã qua quy trình kiểm định nghiêm nghặt, đạt chuẩn quốc tế và hiệp hội nha khoa Việt Nam
Đã thực hiện dịch vụ bọc răng sứ và dán sứ veneer tại Nha Khoa Flora
Vợ cứ bảo tôi đi bọc răng sứ nhưng mình ngần ngại, tự nhiên bọc răng làm gì? dù không tin nhưng tôi cũng thử, làm răng xong thì đây đúng là quyết định sáng suốt của tôi. Tuyệt vời.
Mình hút thuốc nhiều năm, gây vàng và ố răng, làm ảnh hưởng nhiều sự tự tin khi giao tiếp làm việc – mình làm nhân viên bán hàng trực tiếp, rất cần nụ cười tươi sáng. Nha khoa Borasu đã đem đến cho mình giải pháp tốt, thực sự tốt để cải thiện hàm răng hỏng của mình. Thanks.
Tôi bị hỏng răng cửa do một tai nạn không mong muốn, việc tìm giải pháp thay thế răng làm tôi rất khổ sở. Qua việc sửa và bọc răng sứ răng cửa cho tôi, Borasu đã mang lại cho tôi sự tự tin ngày xưa, giúp tôi tiếp tục công việc lãnh đạo Kinh doanh công ty. Cảm ơn.
May quá, tôi thích làm răng sứ lâu rồi nhưng may được biết đến Nha khoa Borasu. Cứ tưởng đau lắm nhưng khi làm thì thấy cũng bình thường. Thẩm mỹ hàm răng giúp tôi tự tin hơn rất nhiều trong công việc và cuộc sống hàng ngày. Xin cảm ơn.
Hiệu quả bọc răng sứ khiến tôi bất ngờ, hàm răng đều và se khít hơn. Lúc đầu tôi cũng nghi ngại khi đi bọc răng, nhưng sau khi hoàn thành thì thực sự quá bất ngờ, cảm giác ăn uống rất chắc chắn và hàm răng nhìn đẹp hơn xưa, giúp tôi tự tin hơn hẳn.
Thẩm mỹ hàm răng là điều chị chưa từng nghĩ tới, nhưng do thời gian và men răng yếu, mình đã hỏng răng cửa. Qua tư vấn tôi đã được Borasu thực hiện bọc răng sứ và kết quả thật mỹ mãn. Giờ đây, tôi thực sự tự tin và an tâm với hàm răng giả sứ của mình (cười…)
Vợ cứ bảo tôi đi bọc răng sứ nhưng mình ngần ngại, tự nhiên bọc răng làm gì? dù không tin nhưng tôi cũng thử, làm răng xong thì đây đúng là quyết định sáng suốt của tôi. Tuyệt vời.
Tôi bị hỏng răng cửa do một tai nạn không mong muốn, việc tìm giải pháp thay thế răng làm tôi rất khổ sở. Qua việc sửa và bọc răng sứ răng cửa cho tôi, Borasu đã mang lại cho tôi sự tự tin ngày xưa, giúp tôi tiếp tục công việc lãnh đạo Kinh doanh công ty. Cảm ơn.
Mình hút thuốc nhiều năm, gây vàng và ố răng, làm ảnh hưởng nhiều sự tự tin khi giao tiếp làm việc – mình làm nhân viên bán hàng trực tiếp, rất cần nụ cười tươi sáng. Nha khoa Borasu đã đem đến cho mình giải pháp tốt, thực sự tốt để cải thiện hàm răng hỏng của mình. Thanks.
Mọi nhu cầu tư vấn, giải đáp thắc mắc, vui lòng liên hệ với chúng tôi để được hỗ trợ tận tình:
Số hotline phục vụ 24/24. Đặt lịch khám & Tư vấn thẩm mỹ răng các ngày/tuần